
Notre cabinet vous propose la possibilité d’avoir recours à de la chirurgie maxillo-faciale dans les cas où la croissance maxillo-faciale est finie (autour des 12 ans pour les filles, 14 pour les garçons) !
On sait qu’une rétrognathie (mâchoire en arrière), un palais creux, un articulé croisé, et autres peuvent être à l’origine des ronflements nocturnes, du bruxisme, d’apnées du sommeil, d’une maladaptation posture, d’une respiration buccale et même de tensions à la tête/dos/nuque récurrentes !
C’est pourquoi nous proposons à nos patients concernés de la chirurgie maxillo-faciale.
La chirurgie maxillo-faciale, qu’est-ce que c’est ?

La chirurgie maxillo-faciale se réalise au bloc opératoire pour intervenir sur l’os des mâchoires.
La croissance maxillo-faciale se finissant très tôt (12-14 ans) le traitement de certains troubles, chez l’ado comme chez l’adulte, nécessite une intervention. Apnées du sommeil, ronflement, problèmes de respiration, récidives de traitement orthodontique, bruxisme… sont autant de pathologies qu’il convient de traiter grâce à une collaboration orthodontiste-chirurgien.

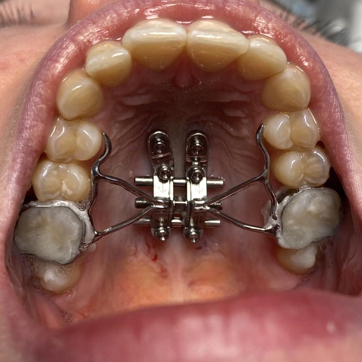
Et le MARPE, qu’est-ce que c’est?
Le MARPE (miniscrew-assited rapid palatal expansion) permet une expansion palatine osseuse sous anesthésie locale au cabinet !
On vous a déjà dit que vous ou votre adolescent aviez un palais trop creux? Ou qu’il n’y avait pas assez de places pour les dents et qu’il fallait en extraire (NE FAITES D’AILLEURS JAMAIS CELA, LES TRAITEMENTS AVEC EXTRACTIONS SONT UNE CATASTROPE) ?
Alors le MARPE est votre ami! En 1 à 3 mois vous avez un nouveau palais élargi et en pleine santé pour :
- un sommeil de meilleur qualité
- une meilleure respiration nasale
- un redressement partiel voire totale de déviation de la cloison nasale
- un sourire plus large et donc plus beau
- empêcher les déchaussements dentaires du au manque de place
- …

Voir en live le placement d’un MARPE au cabinet : cliquez ici !
Vous désirez devenir client(e) et profiter d’un MARPE?
Vous pouvez prendre rendez-vous sur notre site internet ou par téléphone en vue d’une première consultation dans notre cabinet situé à Waterloo, nous évaluerons ensemble le traitement que vous conviendra le mieux.


